Behandlung von Unfallfolgen (Traumatologie)
Durch einen Unfall können vielfältige Verletzungen im Kopf- und Gesichtsbereich auftreten. Etwa Brüche der Gesichtsschädelknochen sowie Verletzungen der Gesichtshaut, der Gesichtsmuskeln und -nerven, der Zähne oder der zahntragenden Knochenanteile. Brüche der Gesichtsschädelknochen müssen wir meist operativ behandeln. Um sichtbare Narben zu vermeiden, setzen wir die Schnitte bei einer Operation möglichst in die Mundhöhle.
Sind Zugänge durch die äußere Haut notwendig, platzieren wir diese in kosmetisch günstigen Regionen. Kleine Verletzungen der Gesichtshaut behandeln wir unter lokaler Betäubung. Schwerwiegendere Verletzungen versorgen wir im Rahmen einer plastischen Rekonstruktion. Diese kann neben der Haut auch tiefer liegende Strukturen wie Nerven, Muskeln und Gefäße betreffen. Durch einen Unfall locker gewordene Zähne werden in der Regel zeitnah für einige Wochen geschient.
Unsere Leistungen im Detail
Operative Behandlungsmöglichkeiten
Bei einem Unfall können Gesichtschädelknochen vielfältig verletzt werden. Die Anatomie des Kopfs einschließlich des Gesichts ist sehr komplex. Daher ist es wichtig, das Ausmaß der Verletzungen zu erfassen und die richtige Therapie einzuleiten. Vielfach müssen wir hierzu die bildgebende Diagnostik einsetzen. Angewandt wird vor allem die digitale Volumentomografie (DVT), die eine millimetergenaue dreidimensionale Bildrekonstruktion erlaubt.
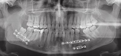
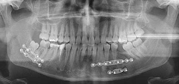
Patienten mit gebrochenen Gesichtsschädelknochen müssen wir in vielen Fällen unter Vollnarkose (Allgemeinanästhesie) operieren. Dabei werden Form, Stellung und Funktion gebrochener Knochen wiederhergestellt. Für moderne Fixierungsverfahren am Knochen verwenden wir am häufigsten miniaturisierte Titanplatten und -schrauben.
Sofern möglich nehmen wir den Eingriff durch die Mundhöhle vor, um sichtbare Narben zu vermeiden. Manchmal sind jedoch Zugänge durch die äußere Haut notwendig. In diesem Fall wählen wir kleine Zugänge in kosmetisch günstigen Regionen. Als erfahrene Mund-Kiefer-Gesichtschirurgen erzielen wir so gute ästhetische Ergebnisse.
Form, Funktion und Ästhetik wiederherstellen
Der sogenannte Weichteilmantel der Gesichtsregion ist äußerst komplex strukturiert. Hier spielt die Verzahnung von Form, Funktion und Ästhetik eine zentrale Rolle. Kleine Verletzungen der Gesichtshaut können wir in lokaler Betäubung mit guten bis sehr guten ästhetischen Resultaten direkt versorgen.
Komplexe Verletzungen hingegen erfassen auch tiefer liegende Strukturen. So können neben der Haut und Unterhaut auch Nerven, Muskeln, Gefäße und andere Strukturen wie Speicheldrüsenanteile mit betroffen sein. In solchen Fällen ist es unsere Aufgabe, das Gesicht bzw. die verletzten Anteile im Rahmen einer plastischen Rekonstruktion wiederherzustellen. Dies schließt unter Umständen die Mikrochirurgie von durchtrennten Nerven oder Speicheldrüsengängen ein. Hierfür wenden wir aufwendige Techniken unter dem OP-Mikroskop an.
ProFace-Technik
Bei ästhetisch-plastischen Eingriffen am Gesicht können wir dreidimensionale fotografische röntgenfreie Scans anfertigen (ProFace-Technik). Ermöglicht wird dies mithilfe unseres DVT-Geräts (DVT = digitale Volumentomografie).
Behandlung je nach Art der Verletzung
Je nach Verletzungsmuster der Zähne sind unterschiedliche Behandlungen notwendig. Durch einen Unfall locker gewordene Zähne schienen wir in der Regel zeitnah für zehn bis vierzehn Tage. In manchen komplexeren Fällen sind auch Schienungszeiten von vier bis sechs Wochen oder gar bis zu drei Monaten nötig.
Nach dem Unfall werden die Patienten zunächst notfallmäßig stabilisiert. Danach behandelt normalerweise der Hauszahnarzt weiter. In manchen Fällen sind Zähne ungünstig gebrochen und müssen gänzlich entfernt werden. Dies sollte in der Regel zeitnah erfolgen.
Nach dem ersten Abheilen sind bei einem Patienten eventuell weitere chirurgische Maßnahmen notwendig. Zum Beispiel um die Kaufunktion und die Ästhetik wiederherzustellen. Dazu zählen etwa das Einsetzen von Implantaten oder gegebenenfalls ein notwendiger Knochenaufbau nach Knochenverlust. Über die anstehende Therapie und die Behandlungsalternativen beraten wir Sie frühzeitig. Die Therapie unternehmen wir dann in Absprache mit Ihnen und Ihrem Hauszahnarzt bzw. Überweiser.


















